- 当前位置: 首页 > 儿童龋齿
- 孩子补牙什么材料好
- 来源:康贝佳口腔 发布时间:2019-04-20 19:24
- 如果小孩有虫洞不补会产生严重的后果,导致蛀牙的小洞变成大洞,所以发现虫洞正确的操作是赶紧到医院进行补牙,不过补牙材料并不单一,那么孩子选择哪种补牙材料好呢?

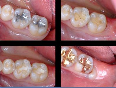
康贝佳口腔的医生指出,补牙材料分别有银汞合金、复合树脂、纳米树脂、玻璃离子等,不同材料费用不同,当然补牙效果也是不同的,例如银汞合金是早期补牙常用的材料,在老一辈补牙基本都是使用这种看上去黑黑的补牙材料,它的价格非常实惠,使用的寿命较久、坚固耐磨,但是美观度会较差,也有先关的调查显示银汞不利于我们身体,所以后面慢慢被其他补牙材料取缔了。
而玻璃离子材料虽然没有银汞合金那样对人体不好,在美观方面也比较好,而且玻璃离子里面含氟,补牙后能够缓慢释放氟,更利于保护曾经被蛀的牙齿,减少蛀牙复发几率,但是它的耐磨性较差,不适合用于磨牙这些咬合力量大的牙齿修复,比较容易磨损和脱落,需要定期修复。
随着时代脚步的不断前进,更优秀的补牙材料也被挖掘出来,现在补牙常用材料是复合树脂和纳米树脂两种。
- 上一篇:南京治疗龋齿哪家医院好
- 下一篇:乳牙掉了多久长新牙


























