• 康贝佳首页
  • 欢迎来到康贝佳官方网站,专注口腔健康,笑出精彩人生!咨询热线:400-025-0505
  • 关于我们:

当前位置: 首页 > 黄牙

黄牙

Dental implants

咨询电话:
400-025-0505

QQ咨询 在线咨询
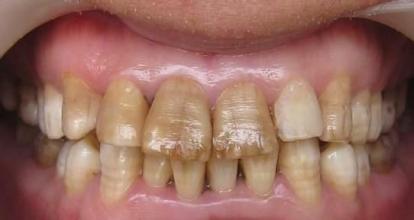
牙黄的原因有哪些?
来源:康贝佳口腔 发布时间:2019-04-17 16:34
  对于牙齿而言,“白”是判定美丑的最主要标准,哪怕稍微有点虎牙,只要够白够亮,就会获得“可爱”之类的评价;如果满口“大黄牙”,再美的颜值也承受不住这种尴尬。那么,牙黄的原因有哪些呢?
 
牙黄的原因有哪些?
 
  1.发育因素
 
  人体营养不良,有传染病等症状,牙齿在发育过程中,牙釉质发育不全,钙化受到影响,牙齿就会呈现出黄褐色。
 
  2.药物因素
 
  使用四环素类药物比较多,大量的使用这种药物,牙齿变黄,那个小孩在发育期间服用这种药物,就会出现“四环素牙"。
 
  3.不注重口腔卫生
 
  牙齿内就会堆积出一些食物残渣造成牙黄现象,由于食物色素贴在牙面上,呈黄色或灰色,吸烟的烟垢、饮料、咖啡、茶的色素等附着牙齿上呈黄灰色。
 
  4.水质因素
 
  有很多偏远地区的水质比较差,长期服用这种水会让牙齿变黄,并且这些偏远地区的水含氟量也比较高,小孩喝了这种水,就会出现四环素牙之中症状,导致幼年时期就有黄牙的症状。
 
  牙黄的原因有哪些?首选康贝佳口腔,如果您还有其他牙齿口腔的问题,或想预约牙齿美白,都可以拨打400-025-0505咨询康贝佳口腔的专家,专家会根据您的情况为您做出详细的美白的指导及方案,让您早日拥有一口美丽洁白的牙齿。