- 当前位置: 首页 > 四环素牙
- 四环素牙遗传吗
- 来源:康贝佳口腔 发布时间:2017-11-10 11:24
四环素牙遗传吗?现在,怀一个宝宝是非常重要的一件事情。宝宝的健康是全家几代人所关注的问题。对于牙齿不好的父母们,小宝宝的牙齿问题受到极大的重视。有些家长自己有四环素牙的症状,对于四环素牙非常担心。生怕孩子遗传,将来不好办。那么,四环素牙遗传吗?下面康贝佳口腔医师就来介绍一下四环素牙会不会遗传的问题。

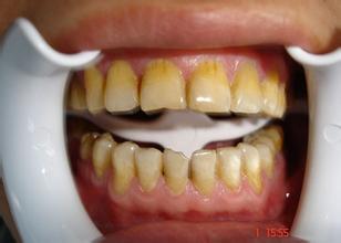
康贝佳医师指出,牙齿发育时,若服用了四环素类药物,药物进入体内后就在牙本质和牙釉质中形成黄色层,且牙本质中的沉积要比在釉质中高4倍。又由于黄色层呈波浪形,似帽状,大致与牙的外形一致,所以整个牙齿均有颜色的改变。>>>四环素牙的预防方法,在线咨询>>>
四环素牙更初牙齿呈黄色,在阳光照射下呈现明亮的黄色荧光,以后逐渐由黄色变成棕褐色或深灰色,这种颜色转变是缓慢进行的,阳光对它有促进作用。此外,四环素类药物不仅可以影响婴幼儿时期发育的恒牙牙色,而且孕妇若服用此类药物,还可以通过胎盘影响胎儿期发育的乳牙牙色。
至于四环素牙的预防,很简单。康贝佳口腔医师说:只要妊娠或哺乳期的妇女、8岁以下的儿童不使用四环素类药物就可以了。自己有四环素牙,没有关系,不会遗传,做好防范措施就可以了。
四环素牙治疗
四环素牙十分影响美观,如何治疗四环素牙呢?康贝佳口腔医师介绍说,一般来说中轻度的四环素牙可以选择进行冷光美白进行治疗,如果是中度的四环素牙可以选择进行牙齿贴面治疗,若四环素牙比较严重贴面已经难以遮盖,可以选择进行烤瓷牙冠修复美白。>>>四环素牙治疗多少钱?>>>
以上就是关于康贝佳口腔医师对四环素牙会遗传吗的相关介绍,如果您还有其他的疑问,请及时联系我们的在线医师。
- 上一篇:四环素牙的不同程度治疗
- 下一篇:四环素牙做烤瓷牙好吗



























