• 康贝佳首页
  • 欢迎来到康贝佳官方网站,专注口腔健康,笑出精彩人生!咨询热线:400-025-0505
  • 关于我们:

当前位置: 首页 > 美容修复

美容修复

Dental implants

咨询电话:
400-025-0505

QQ咨询 在线咨询
补牙后多久可以吃东西?
来源:康贝佳口腔 发布时间:2019-05-11 14:00
  现在,人们的生活质量正在逐步提高,许多人喜欢吃甜食或冷饮,不喜欢刷牙或洗牙,这很容易导致牙齿被腐蚀或蛀洞。
 
 
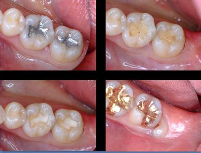
  这完全不是在危言耸听。张开你的嘴,你会发现你的内齿中间有一些黑色的部分。当你笑或说话时,你的牙齿会特别难看。你牙齿的黑色部分会逐渐腐蚀你的牙齿,使你的牙齿变得不舒服。牙齿出现了腐蚀或蛀洞时,许多人会选择补牙
 
  补牙后,医生会告诉病人至少要两小时才能进食。有些人不听医生的劝告。他们已经两个小时没吃东西了,然后他们发现牙齿变形了。你能在填饱牙后两小时内吃东西吗?
 
  医生叮嘱在几个小时内不要吃东西,以修复填充材料,这需要一些时间来修复。牙科材料种类繁多,每种材料的固定时间是不同的。现在一般的充填材料是光固化树脂材料,用这种材料来填充牙齿,分层固化,固定的同时充填牙齿,一般来说,填充牙齿的硬度已经可以承受吃的压力了。
 
  但对每个人来说都是不同的。有些人填饱牙齿后立即吃东西,但有些人不吃。因此,医生建议病人不要吃两个小时,以确保他们得到最好的结果。
 
  另一种是银汞充填牙,这种材料坚硬,不易变形,但充填后会出现灰色痕迹,最大的优点之一就是使用寿命长,所以这种材料更受牙医的欢迎。
 
  康贝佳口腔专家表示:但这种材料需要很长时间才能成型。一般来说,不吃硬性食物,不喝适量液体,而不喝碳酸饮料,需要24小时,才能达到最佳的补牙效果。
 
  填饱后两小时内可以进食,但不能进食硬度高的东西。吃一些有硬度的东西会损害填充材料的固定,甚至导致填充材料的断裂或脱落。尽量不要用牙齿咀嚼食物,避免吸烟和饮酒,喝碳酸饮料等。即使在填牙一段时间后,也不要经常吃一些较硬的食物,否则会导致填牙材料的流失和损坏。