- 当前位置: 首页 > 牙齿矫正
- 地包天矫正需要拔牙吗?
- 来源:康贝佳口腔 发布时间:2018-06-21 13:33
地包天是一种很难看的牙齿畸形,对我们的工作、生活有很大的影响,所以有地包天要及时矫正。那么南京地包天矫正需要拔牙吗?

【地包天矫正需要拔牙吗】
康贝佳医生表示:地包天矫正是否拔牙主要取决于患者牙齿畸形程度。如果是轻度的地包天当然不用拔牙了;若是重度的地包天或者牙齿比较拥挤的情况,单纯通过矫正来修复是比较困难的,此时就需要拔牙处理。
【地包天的矫正方法】
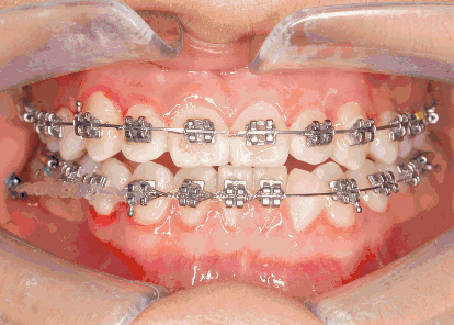
一、普通正畸:
传统正畸通过用粘结剂将矫正装置粘固于牙齿上,通过逐渐加力使牙齿缓慢移动,达到牙齿的正确位置。每月需复诊一次,不可自行摘戴。
二、美容冠矫正:
调整歪斜的牙齿,打磨凸出部位1-2mm,在原牙外包以一层整齐洁白的美容冠,不损伤牙齿、牙龈的前提下依靠牙槽骨的形态对牙齿做修整。
三、无托槽隐形矫正:
通过电脑技术为患者量身定做透明矫正器,运用3D影像科技来设计整个疗程。患者只要按照设计程序,在不同时期戴上不同的透明矫正器,便可使上颚或下颚的牙齿依照预定的设计移动,使牙齿变整齐。隐蔽美观,不易被人发觉,口感非常舒适;可自行取戴,简便适用。
【推荐:无托槽隐形矫正】
康贝佳无托槽隐形矫正技术是目前流行的矫正方法,高新技术三维诊断、个性化设计、数字化成形、无托槽隐形矫治。没有粘结托槽、调整弓丝的繁琐,临床操作大大简化,省时又省力。不仅如此,矫治器厚度不到1mm,光滑舒适,戴用时无明显异物感和粘膜刺激,感觉舒适。
地包天矫正需要拔牙吗 以上就是南京康贝佳口腔医院对地包天矫正需要拔牙吗的解答。您对地包天矫正有任何的疑问,欢迎随时点击我们的在线咨询或拨打24小时咨询电话,我们将为您提供详细的解答!
- 上一篇:牙间隙过大有什么矫正方法?
- 下一篇:牙齿缝隙大能矫正吗?


























