- 当前位置: 首页 > 牙齿矫正
- 地包天牙齿怎么矫正
- 来源:康贝佳口腔 发布时间:2018-07-27 16:59
地包天矫正方法有很多,患者可以根据自身情况选择适合的矫正方法。那么南京怎么矫正地包天牙齿呢?

地包天牙齿的矫正方法如下
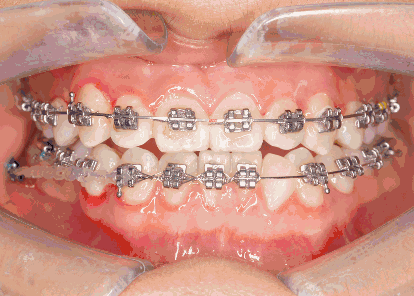
一、普通正畸:
传统正畸通过用粘结剂将矫正装置粘固于牙齿上,通过逐渐加力使牙齿缓慢移动,达到牙齿的正确位置。每月需复诊,不可自行摘戴。
二、美容冠矫正:
调整歪斜的牙齿,打磨凸出部位1-2mm,在原牙外包以一层整齐洁白的美容冠,不损伤牙齿、牙龈的前提下依靠牙槽骨的形态对牙齿做修整。
三、无托槽隐形矫正:
通过电脑为患者量身定做透明矫正器,利用3D影像来设计整个疗程。患者只需依照设定的程序,不同时期戴上不同的矫正器,即可使上颚或下颚的牙齿依照预定的设计移动,达到牙齿变整齐的目的。隐蔽美观,不易被人发觉;可自行取戴。
推荐:无托槽隐形矫正
康贝佳无托槽隐形矫正技术采用高新三维诊断、个性化设计、无托槽隐形矫治。没有粘结托槽、调整弓丝的繁琐,临床操作大大简化。矫治器厚度不到1mm,戴用时无明显异物感和粘膜刺激。
【温馨提醒】 以上就是南京康贝佳口腔医院对怎么矫正地包天牙齿的解答。您对地包天牙齿矫正有任何疑问,欢迎随时点击我们的在线咨询或拨打24小时咨询电话,我们将为您提供详细的解答!
- 上一篇:多少钱可以矫正牙齿?
- 下一篇:龅牙带牙齿矫正器有用吗


























