- 当前位置: 首页 > 牙齿治疗
- 治疗牙龈出血多少钱?
- 来源:康贝佳口腔 发布时间:2019-02-26 14:00
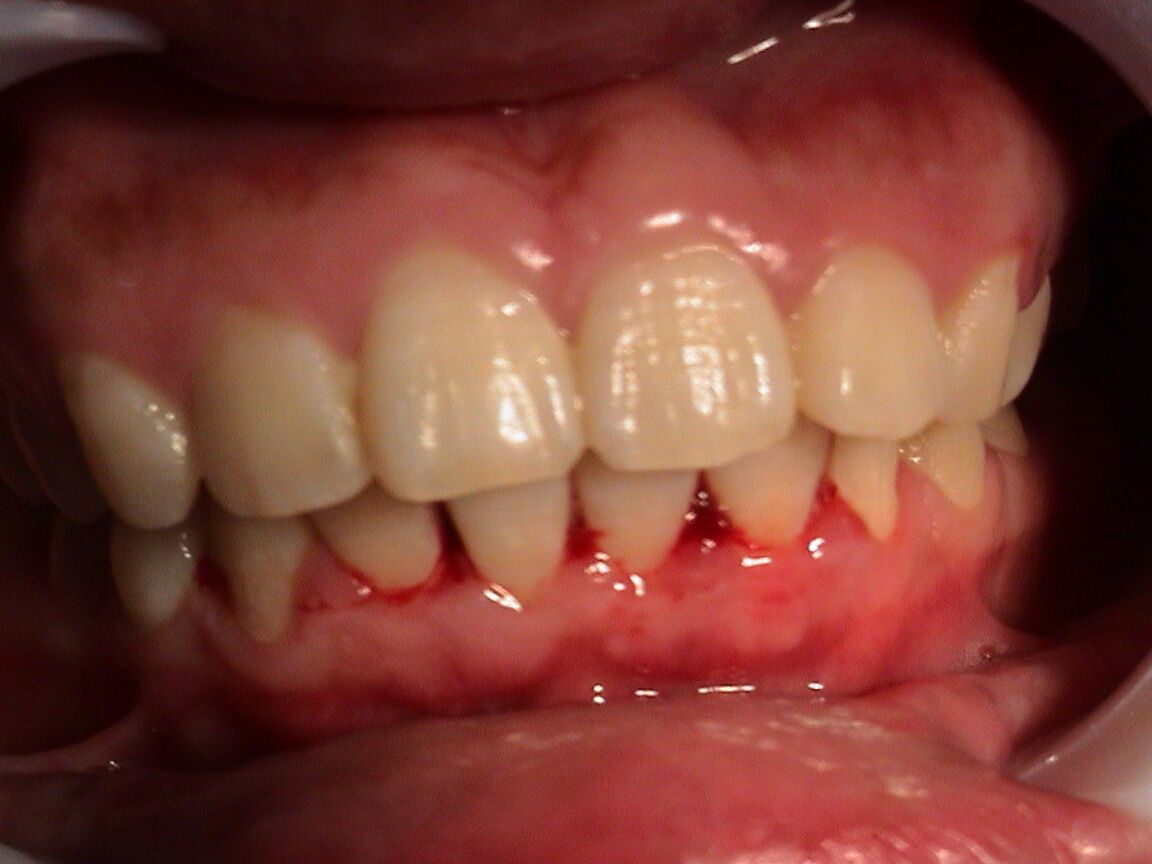
牙龈出血是非常常见的一种症状,导致牙龈出血的原因有很多种,比如牙龈发炎等。牙龈出血虽看似平常,却暗示着口腔的实际情况,必须及时治疗。那么洗牙治疗牙龈出血多少钱呢?

治疗牙龈出血多少钱
1、医生的选择:医生的技术是治疗牙龈出血过程中非常关键的一个环节,对于治疗牙龈出血的成功率来说很重要,如果这一环节出现了异常情况,必将影响整个手术的安全和质量,若由专业医生进行操作,则能够有效的防止治疗过程中的一些失误现象以避免一些不必要的治疗费用。
2、患者的牙齿情况:通常在治疗牙龈出血之前,医生会对患者的口腔情况做一个全面的检查,若发现还存在其他龋齿或炎症,则需要先去除这些炎症再治疗牙龈出血,因此,在费用方面自然也会有一定的影响。
3、患者所在地当地的物价水平:每个地区的经济水平都不一样,每个地方的收费标准不同,在一些物价水平高的地方,治疗牙龈萎缩的价格会相对高些,而物价水平低的地方牙齿正畸价格会低些。
【温馨提示】 牙龈出血虽然是小问题,但也要有所重视。不能忽视任何牙齿上的问题。康贝佳拥有雄厚的技术实力、丰富的临床经验、高端的医疗设备,让您感受从未有过的超赞医疗体验。是不错的选择。您还可以点击在线咨询。康贝佳竭诚为您服务!
- 上一篇:蛀牙掉落了怎么办,怎么补牙好?
- 下一篇:南京二氧化锆全瓷牙价格


























