- 当前位置: 首页 > 医院动态
- 【揭秘】看一群丑牙网友们整牙后的华丽逆袭
- 来源:康贝佳口腔 发布时间:2018-05-04 16:57
- 外表并不重要,心灵美才是更重要的如果身边有人这么宽慰你那一定不是“真爱”今年暑假,拒绝空洞的精神安慰我们来点实在的!康贝佳口腔“微笑天使变形计”火热招募!
让你轻松告别歪牙,自信由笑而生……
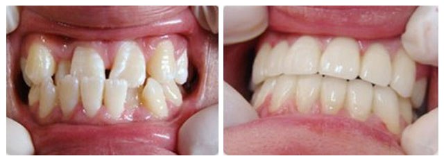
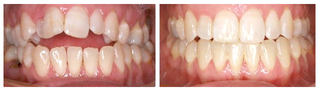
俗话说:“爱笑的人,运气永远不会太差”,过完暑假,我们即将迎来新的台阶,新的征程……你还在为自己的丑牙而隐忍不笑或者笑不露齿吗?你还在为自己牙列不齐而苦恼自卑吗?看看他们拥有的自信,是否甩了你几条街……



“刚刚拆掉了牙套…看看我的变化!希望我的对比可以带给你一些鼓励…”如果你还在犹豫,那么勇敢的迈出这一步吧!想要改变,想要自信,只要你想,什么时候都不晚!
康贝佳暑期正畸特惠限时抢约,心动百次,不如行动一次!康贝佳口腔提醒您↓↓康贝佳口腔爱牙热线:400-025-0505医生一对一咨询热线:025-58057203


























