- 当前位置: 首页 > 氟斑牙
- 氟斑牙有哪些危害
- 来源:康贝佳口腔 发布时间:2017-11-10 13:39
很多人对氟斑牙的危害认识只停留在牙齿呈黄色而已,其实氟斑牙的危害远不止这些,那么氟斑牙有哪些危害呢?下面一起来看下康贝佳口腔医师的介绍。>>>我有同样的问题,直接在线咨询>>>
氟斑牙有哪些危害?
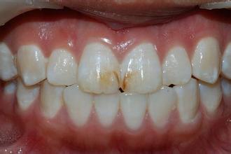
康贝佳口腔医师介绍,从氟斑牙的临床表现上可窥一二,氟斑牙的临床表现有:
1、在同一时期萌出的釉质上有白垩色到褐色的斑块,严重者还并发有釉质的实质缺损。临床上常按其轻、中、重度而分为白垩型(轻度)、着色型(中度)和缺损型(重度)三种类型。
2、严重的慢性氟中毒患者,可有骨骼的增殖性变化,骨膜、韧带等均可钙化,并从而产生腰、腿和全身关节症状。急性中毒症状为恶心、呕吐、腹泻等。由于血钙与氟结合,形成不溶性的氟化钙,引起肌痉挛、虚脱和呼吸困难,以致死亡。>>>氟斑牙怎么治疗好?>>>
3、对摩擦的耐受性差,但对酸蚀的抵抗力强。
4、氟牙症一般均见于恒牙,但如氟摄入量过多,超过其筛除功能的限度时,也能不规则地表现在乳牙上。
温馨提示:从以上的介绍可见,氟斑牙的危害不仅影响一个人在外在形象,长此以往可能还会对患者本人心理和生理造成巨大的伤害。如果有氟斑牙请尽快到正规牙科医院医治疗吧!如有其它疑问,可点击在线咨询或者拨打400-025-0505。
- 上一篇:氟斑牙的形成与水有关系吗?
- 下一篇:氟斑牙的美白费用与什么有关




























